



Оставляя заявку, вы соглашаетесь что ознакомлены с политикой обработки и защиты персональных данных .


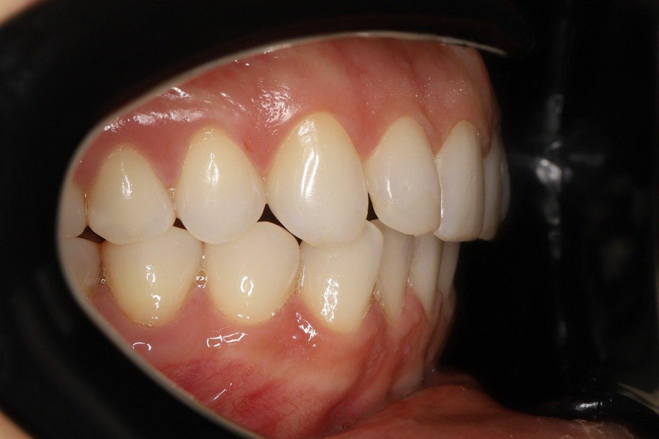
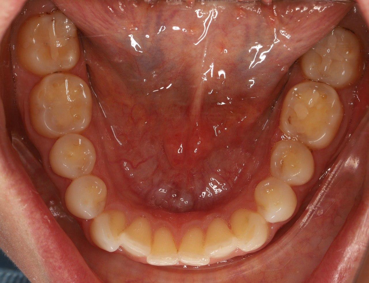
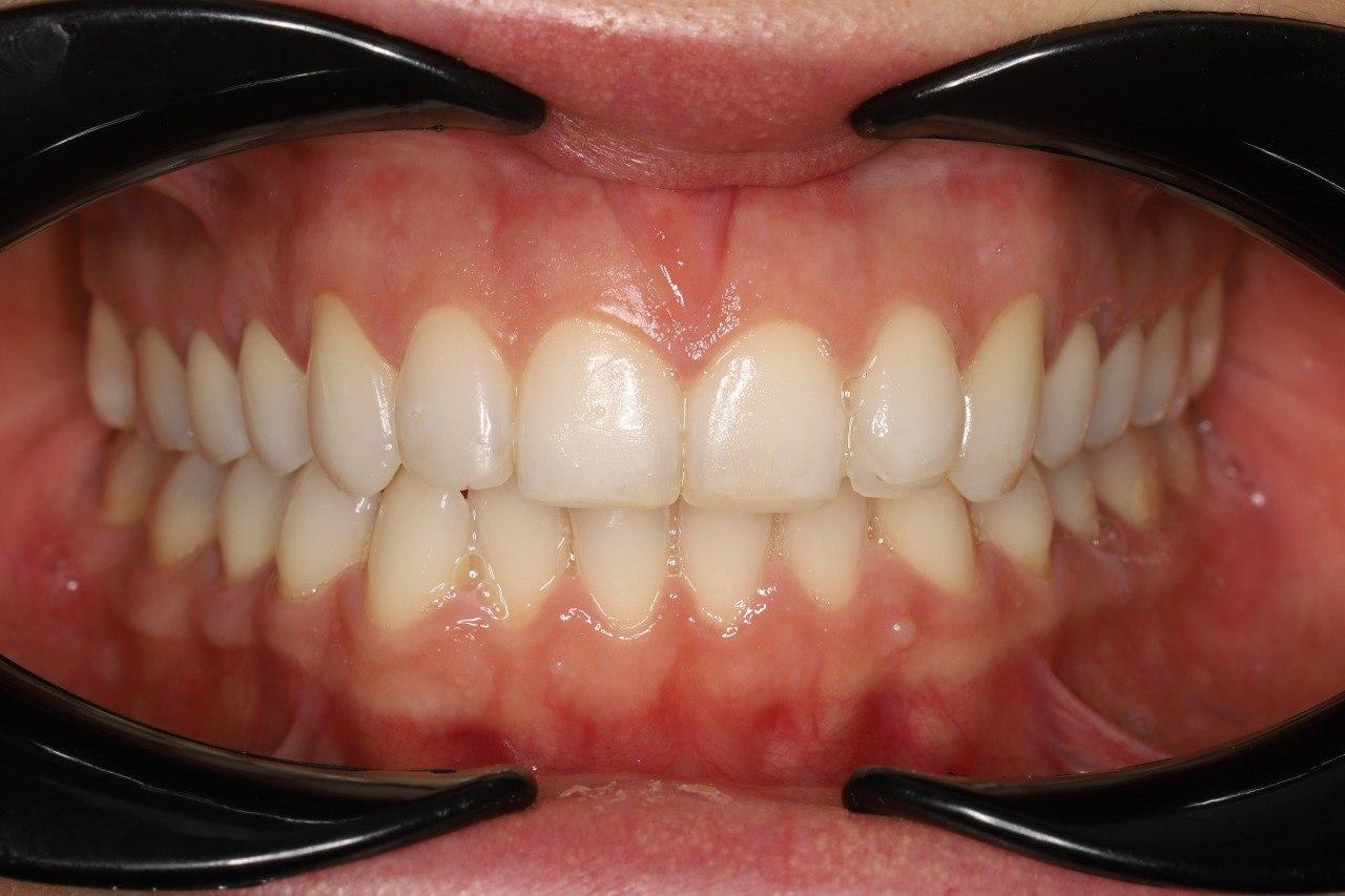
Бережное исправление прикуса на элайнерах. Просто оцените результат.






Оставляя заявку, вы соглашаетесь что ознакомлены с политикой обработки и защиты персональных данных .
Оставляя заявку, вы соглашаетесь что ознакомлены с политикой обработки и защиты персональных данных .